Páginas

quinta-feira, 1 de setembro de 2011

Câncer exige mais cuidado bucal

Pacientes com a doença precisam de tratamento odontológico durante e após químio e radioterapia

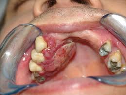
Cerca de 80% dos pacientes com câncer desenvolvem, em algum período do tratamento, problemas bucais. A afirmação é do cirurgião dentista Alan Roger, do Ambulatório de Odontologia do Instituto do Câncer do Estado de São Paulo (Icesp). Segundo o especialista, esses problemas, que aparecem como efeitos colaterais da quimioterapia e da radioterapia, merecem atenção especial na medida em que podem impactar no resultado final do tratamento.

"Toda pessoa que vai começar a ser tratada deve ser encaminhada para um cirurgião dentista para que seja feita a avaliação e a orientação pré-tratamento", recomenda o coordenador do Serviço de Saúde Bucal do Centro Avançado de Oncologia do Hospital São José, Luís Marcelo Sêneda.

De acordo com ele, como o tratamento contra o câncer provoca a queda da imunidade, uma situação que seria corriqueira em uma pessoa saudável pode sair do controle no caso do paciente oncológico. Roger explica que o problema é que a quimioterapia não é seletiva e, além de atacar as células do tumor, também ataca células de outros tecidos, como os da boca. Por isso, diz ele, surgem as feridas, chamadas de mucosites.

Comuns em pacientes oncológicos, essas feridas bucais são porta de entrada para bactérias que levam a infecções possivelmente fatais ao organismo já debilitado. "O paciente, que já enfrenta uma debilidade por causa da doença, torna-se vulnerável a infecções por causa das feridas", esclarece Roger. "Isso sem falar da dor que impede que ele (paciente) coma certos alimentos e que beba água. Ele fica ainda mais debilitado."

No caso daqueles que fazem tratamento com radioterapia, além das mucosites há também o risco de desenvolver as chamadas cáries de radiação. Um dos fatores que levam a essas cáries é o efeito da radiação sobre a produção de saliva. "Sem a saliva, os dentes quebram mais facilmente e as cáries progridem rápido", explica Roger, que além de atuar no Icesp também é professor da Universidade Estadual de Campinas (Unicamp).

Para o especialista, os pacientes devem ser orientados a intensificar os cuidados com o fio dental e a escovação e a aderir a bochechos com líquidos especiais receitados pelo dentista. A escova também deve ser mais macia para evitar lesões no interior da boca.

O dentista Marcelo Fardin, que atende pacientes com câncer no Hospital São Luiz, lembra que, em alguns casos, é preciso até interromper a quimioterapia para tratar de uma infecção adquirida pelo paciente em decorrência de um problema bucal. Por isso, centros de tratamento de câncer têm áreas específicas reservadas à odontologia. Além do Icesp, o Hospital São José, o Hospital São Luiz e o Ambulatório de Oncologia Pediátrica do Santa Marcelina oferecem esse tipo de serviço.

‘Sequelas podem ser permanentes’, diz médica do Icesp
Segundo a cirurgiã dentista Thais Brandão, que coordena o Ambulatório de Odontologia do Icesp, a manutenção odontológica é necessárias mesmo após o fim do tratamento oncológico. "Os cuidados bucais devem permanecer por toda a vida", diz, lembrando que algumas sequelas são permanentes.

A perda de paladar e candidose (conhecida como sapinho) são comuns em pacientes com câncer e, de acordo com especialistas, o profissional mais capacitado para atendê-los é o dentista com especialização em estomatologia. "A manipulação inadequada pode implicar em grandes riscos para o paciente", diz Luís Marcelo Sêneda, do Hospital São José.

Fonte Estadão

Nenhum comentário:

Postar um comentário