Aplicativos, carreira, concursos, downloads, enfermagem, farmácia hospitalar, farmácia pública, história, humor, legislação, logística, medicina, novos medicamentos, novas tecnologias na área da saúde e muito mais!



sexta-feira, 3 de fevereiro de 2012

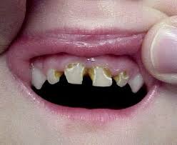
Consequências das cáries na infância

Além da perda dos dentes, as cáries na infância podem causar problemas na audição e na fala.

Também conhecida como cáries de mamadeira, as cáries em bebês constituem um grave problema, que pode destruir os dentes de seu bebê — mas o problema pode ser evitado.

Qual a Causa de Cáries na Infância?
- Deixar seu bebê dormir com uma mamadeira. Quando seu bebê está dormindo, os líquidos que têm açúcar permanecem em volta dos dentes e podem causar cáries. Até mesmo o leite materno e o de fórmulas contém açúcar.
- Amamentação prolongada na mãe ou permitir que seu bebê adormeça enquanto se alimenta.
- Permitir que sua criança fique o tempo todo com a mamadeira.

Sua criança pode adormecer sem uma mamadeira! Siga cinco dicas para tentar:
-Deixe sua criança levar uma manta, ursinho, boneca, ou brinquedo favorito de "segurança" para cama.
- Cante ou toque uma música tranqüila baixinho.
- Segure ou balance sua criança.
- Faça uma massagem nas costas da sua criança para ajudá-la a relaxar.
- Leia ou conte uma história para a sua criança.

Quais são os efeitos de Cáries na infância?
- Perda de dentes
- Problemas de audição e de fala
- Dentes permanentes tortos
- Dor muito forte
- Baixa auto-estima

Seis Modos Que Você pode Evitar Cáries na infância!
- Habitue-se a colocar seu bebê na cama sem uma mamadeira.
- Nunca coloque seu bebê na cama com uma mamadeira contendo fórmula, leite, suco, água com açúcar ou refrigerante. Se seu bebê precisar tomar uma mamadeira para adormecer, encha-a com água.
- Não permita que sua criança fique o tempo todo com a mamadeira.
- Limpe a gengiva e os dentes da sua criança depois de qualquer alimentação com um pequeno pano úmido e macio ou um pedaço de gaze. Com crianças mais velhas, use uma escova dental com cerdas macias para escovar seus dentes.
- Comece a ensinar sua criança a usar um copo já com nove meses de idade. Troque a mamadeira do seu bebê por um copo de treinamento já na idade de 1 ano.
- Pergunte ao seu médico ou dentista para ter certeza que sua criança está recebendo a quantidade diária correta de flúor.

A saúde e o sorriso brilhante dos dentes do seu filho dependem de você!

Fonte Colgate-Palmolive

Nenhum comentário:

Postar um comentário