Aplicativos, carreira, concursos, downloads, enfermagem, farmácia hospitalar, farmácia pública, história, humor, legislação, logística, medicina, novos medicamentos, novas tecnologias na área da saúde e muito mais!



quinta-feira, 30 de abril de 2015

Alerta: 60% dos pacientes em UTI desenvolvem infecção

Os índices de infecção nos hospitais brasileiros são preocupantes e esse quadro se agrava quando os pacientes estão internados nas unidades de terapia intensiva
 
Os dados nacionais indicam que cerca de 60% dos pacientes em ambiente de cuidados intensivos têm infecção, 70% deles recebem tratamento com antibióticos e 40% acabam morrendo.
 
O médico intensivista Thiago Lisboa explica que a mortalidade associada à infecção no ambiente de cuidados intensivos é bastante variável, mudando de acordo com o tipo de UTI (geral, cirúrgica, de trauma, por exemplo), tipo de hospital (terciário, universitário e de baixa ou alta complexidade) e diferentes regiões do Brasil. “Porém, o que se deve verificar nos diferentes cenários é um risco maior em pacientes que desenvolvem infecções adquiridas nos hospitais ou UTIs, em comparação aos pacientes sem essa complicação. O impacto desse aumento pode ser na ordem de duas ou três vezes mais”, completou em comunicado.
 
No ambiente de cuidados intensivos, apesar de poder haver variação entre os diferentes centros, a preocupação maior está nas bactérias Gram-Negativas que correspondem, nos estudos, pelo menos a 50% dos episódios de infecções adquiridas nas UTIs, principalmente aquelas que expressam mecanismos de resistência aos antibióticos disponíveis.
 
Diante deste cenário, a Associação de Medicina Intensiva Brasileira (AMIB) lança campanha nacional para a “Prevenção da Infecção na UTI” que vai até novembro deste ano. Foram elencados sete pontos importantes que devem ser observados no combate: Higienização das Mãos; o Uso Racional de Antimicrobianos; o Uso Adequado das Precauções de Contato; o Rastreio e Medidas de Isolamento dos Casos; a Vigilância Epidemiológica; a Limpeza Adequada do Ambiente; e a Educação Continuada dos Profissionais de Saúde.

Prevenção da infecção na UTI:
 
infecção_hospitalar_Amib
 
AMIB
 
Saúde Web

Maioria dos países está mal preparada para combater superbactérias resistentes, diz OMS

Todos os tipos de micróbios estão se tornando resistentes, disse um membro da entidade
 
Apenas 34 países têm planos nacionais para combater a ameaça mundial da resistência aos antibióticos, ou seja, poucos estão preparados para enfrentar infecções causadas por “superbactérias” que põem mesmo os cuidados básicos de saúde em risco, disse a Organização Mundial da Saúde (OMS) nesta quarta-feira (29).
 
Em uma pesquisa sobre os planos dos governos para resolver a situação, a OMS afirmou que apenas um quarto dos 133 países que responderam estão enfrentando o problema.
 
“Esse é o maior desafio em doenças infecciosas hoje”, afirmou Keiji Fukuda, diretor-geral assistente da OMS para a segurança sanitária. “Todos os tipos de micróbios, incluindo muitos vírus e parasitas, estão se tornando resistentes.”
 
“Isso está acontecendo em todas as partes do mundo, por isso, todos os países têm que fazer sua parte para enfrentar essa ameaça global.”
 
Drogas antimicrobianas, tais como antibióticos e antivirais, são utilizadas para tratar condições como infecções na corrente sanguínea, pneumonia, tuberculose e HIV.
 
Mas infecções por superbactérias, incluindo formas de tuberculose multirresistentes a medicamentos, já matam centenas de milhares de pessoas por ano, e a tendência é crescente.
 
Ainda de acordo com a OMS, poucos países têm planos para preservar antibióticos. Aqueles que o fazem ficam em grande parte nas regiões mais ricas, como a Europa e a América do Norte, onde os sistemas de saúde estão mais bem organizados e financiados, e a capacidade científica é mais avançada.
 
“Muito mais países precisam estabelecer estratégias globais para prevenir o uso indevido de antibióticos e reduzir a propagação da resistência antimicrobiana”, salienta o relatório da OMS.

O monitoramento é fundamental para controlar a resistência aos antibióticos, diz a OMS, mas no momento não é eficaz. Em muitos países, a frágil capacidade laboratorial, de infraestrutura e de gestão de dados estão impedindo uma vigilância eficaz, o que torna difícil discernir padrões de resistência e identificar as tendências das doenças e surtos.
 
Ao mesmo tempo, as vendas de medicamentos antimicrobianos sem receita médica são comuns, aumentando o risco de uso excessivo e abuso por parte do público e médicos sem escrúpulos.

Comentando o relatório da OMS, Mike Turner, chefe da área de infecção e imunobiologia da entidade beneficente internacional The Wellcome Trust, descreveu as infecções resistentes a medicamentos como “uma das maiores ameaças para o futuro da saúde no mundo”.
 
R7

Vacina nova protege contra quatro tipos de vírus da gripe

Produto só está disponível na rede particular. Postos oferecerão imunizante trivalente
 
Rio - Três semanas depois da data inicialmente prevista, começa na segunda-feira a Campanha Nacional de Vacinação contra a Gripe. O atraso teria sido motivado para que o Ministério da Saúde pudesse adquirir um produto que contivesse proteção contra um novo tipo de vírus que circula pelo Hemisfério Norte. As doses que serão oferecidas na rede pública, porém, não serão da mais nova vacina existente no mercado, a tetravalente, que protege contra quatro tipos de vírus. Os postos vão disponibilizar a trivalente.
 
A nova vacina, mais eficaz no controle da doença, só está disponível em clínicas particulares por R$ 120. Não há previsão de entrada deste novo imunizante na rede pública, informou o Ministério da Saúde. Produzida pelo laboratório Sanofi Pasteur, a tetravalente protege contra duas cepas do vírus tipo A da gripe e duas do tipo B. A trivalente combate apenas uma forma do tipo B, além das duas do tipo A.
 
Para a presidente da Sociedade Brasileira de Imunizações, Isabella Ballalai, a novidade traz maior segurança, mas não inviabiliza o uso da trivalente. “São duas boas vacinas. A questão é que há duas linhagens do tipo B circulando, e se não coincidir a que circula com a presente na vacina, a imunização pode fracassar”, explica a especialista. “Mas o vírus do tipo B que está circulando no país até o momento é o contemplado pelo imunizante da campanha. Ele está adequado”, garante.
 
A grande vantagem da tetravalente, segundo ela, é prevenir contra o possível aparecimento da nova forma. Porém, isso não deve ocorrer ainda nessa temporada. “Cada vez está mais difícil de prever qual das formas do vírus irá circular. Com a nova vacina, essa dúvida não vai mais existir”, explica Isabella.
 
Trivalente vai ‘sair de linha’
O Ministério da Saúde ainda não tem previsão para a entrada da tetravalente na lista de imunizantes oferecidos pelo SUS. Contudo, Isabella Ballalai acredita que a mudança deve se dar já nos próximos anos.
 
“A tendência é de que a trivalente nem seja mais produzida em breve pela eficácia maior da tetravalente”, aponta a médica.
 
Mas a mudança deve ser gradual, devido ao tempo para produção da nova vacina. “Nos EUA, 20% das vacinas eram tetravalente em 2014. Esse ano já subiu para mais da metade”, diz. Segundo o Ministério da Saúde, a inclusão de uma nova vacina na rede pública leva tempo, pois ela precisa passar por diversas análises do órgão, como de eficácia e custo-benefício.
 
O Dia

Infecções de ouvido são comuns, mas muitas vezes não são diagnosticadas em lactentes

Foto: reprodução da Internet
As infecções de ouvido geralmente estão localizados no ouvido médio. Os transtornos da audição podem levar a alterações no desenvolvimento da fala e outros marcos de crescimento
 
Embora a maioria dos bebês tem pelo menos uma infecção no ouvido antes que de atingir a idade de 1 ano, as infecções podem ser difíceis para que os pais a reconheçam. Um comunicado do Loyola University Health System, de Chicago, Estados Unidos, busca dar orientação a como identificar e tratar infecções de ouvido em bebês.
 
Os sinais de uma infecções de ouvido em bebês incluem febre, irritabilidade, falta de sono, e procurar coçar ou bater nas orelhas.
 
Segundo o comunicado, os antibióticos só devem ser prescritos se a infecção de ouvido não puder ser tratada sem eles. Versões pediátricas de acetaminofeno ou ibuprofeno podem proporcionar um alívio nos sintomas, mas a dosagem correta deve ser prescrita pelo pediatra ou otorrinolaringologista.
 
A opção de tratamento sem o uso de medicamentos é aplicar calor sobre o ouvido externo, usando calor local morno (não quente), como, por exemplo, uma compressa morna.
 
Caso o bebê tenha três ou quatro infecções de ouvido no período de seis meses a um ano, pode ser a hora de considerar o implante de tubos.
 
Os tubos, que são implantados durante um procedimento cirúrgico, fornecem ventilação e drenagem, o que ajuda a evitar o acúmulo de fluido nos ouvidos. Todo o procedimento leva cerca de 15 minutos.
 
Os tubos normalmente permanecer no local durante seis meses a um ano, e geralmente caem por conta própria, disse ele.
 
Terra

Paracetamol afeta emoções e reduz o prazer, diz estudo

Pesquisa mostra que substância encontrada no Tylenol pode afetar reações emocionais
 
Pesquisadores americanos descobriram um novo efeito colateral do paracetamol. De acordo com os estudos, a substância pode ter efeitos relacionados às reações emocionais. Além de reduzir a dor, o paracetamol pode também reduzir o prazer, de acordo com publicação da Associação de Ciência Psicológica.
 
Segundo informações do site The Guardian, o estudo mostrou que além de mexer com a dor física, a substância também afeta a questão emocional, o que comprova que o circuito cerebral da dor é ativado nas duas situações, afirmou Geoffrey Durso, psicólogo social da Universidade do Estado de Ohio, nos Estados Unidos.

— O paracetamol não somente alivia a dor, mas também suaviza as emoções.
 
O pesquisador contou com participação de 82 estudantes e deu 1g da substância a metade deles e uma outra pílula, exatamente igual, que não faria efeito nenhum.
 
Uma hora depois, tempo em que a droga faz o efeito, Durso pediu que os alunos olhassem para uma série de 40 fotografias. As imagens haviam sido escolhidas para mexer com emoções extremas, como imagens de crianças brincando com gatos ou de vasos sanitários sujos.
 
Os alunos deveriam classificar as imagens em categorias, que iam do extremamente agradável até o extremamente desagradável. O resultado mostrou que aqueles que haviam tomado o paracetamol tiveram reações menores às imagens.
 
— As pessoas que tomaram a substância não tiveram a mesma intensidade de reações que os que não tomaram o remédio. O médico afirma que as reações não foram tão diferentes, mas que a diferença é significativa para avaliar as consequências das substâncias.
 
Durso afirma que pretende continuar os estudos para avaliar outros produtos analgésicos como a aspirina e os seus efeitos, não somente em relação às dores, mas também as consequências nas emoções.

R7

quarta-feira, 29 de abril de 2015

Portugal: Usar códigos de barras nos hospitais pode reduzir até 42% os erros de medicação

A utilização do sistema dos códigos de barras nos hospitais pode reduzir até 42% os erros de medicação e a sua aplicação generalizada na área da saúde permite poupanças que podem chegar aos 791 milhões de euros a 10 anos
 
Um estudo que será apresentado esta semana em Lisboa, desenvolvido pela consultora do economista Augusto Mateus, mostra que há um potencial de poupança a 10 anos para a economia entre 561 milhões e 791 milhões de euros com a aplicação de uma tecnologia como a dos códigos de barras, avança o Correio da Manhã.

Leia também:
http://gestaodelogisticahospitalar.blogspot.com.br/2015/04/a-importancia-da-rdc-59-na-seguranca-do.html
 
Segundo João Castro Guimarães, responsável da GS1 (entidade sem fins lucrativos que introduziu os códigos de barras em Portugal há 29 anos), trata-se atualmente de uma tecnologia mais evoluída do que os códigos de barras simples e que permite transmitir um maior número de dados.
 
RCM Pharma - Portugal

Produtos Tradicionais Fitoterápicos já podem ser notificados pelo sistema da Anvisa

Fabricantes de Produtos Tradicionais Fitoterápicos (PTF) já podem contar com um procedimento mais célere para autorização de produção. Desde 24 de abril, o sistema da Anvisa já está atualizado para receber a notificação destes medicamentos
 
Em 2014, a RDC 26, publicada pela Agência, instituiu o PTF como aquele medicamento obtido de plantas medicinais que é autorizado para comércio após ser comprovado o seu uso seguro e efetivo por pelo menos 30 (trinta) anos, baseado em documentos internacionais e referências científicas que demonstrem a utilização.
 
Esses documentos já poderiam ser utilizados para registrar fitoterápicos desde 2000. Assim, o que a RDC 26/14 fez foi deixar mais claro o modo de apresentação dos documentos e sua disponibilização para a população, bem como harmonizar a legislação com os principais países do mundo que regulam fitoterápicos.
 
Essa mesma norma instituiu a notificação simplificada de PTF. A expectativa é que, com a simplificação, o número de produtos fitoterápicos regularizados seja ampliado, aumentando os medicamentos à disposição da população.
 
ANVISA

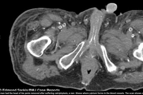
Homem perde parte de órgão sexual doença no sangue

Reprodução/DailyMail: Problema de circulação fez com que
 pele apodrecesse e parte do órgão teve de ser retirada
A cirurgia levou quatro horas e homem de 54 anos morreu com infecção
 
Um homem de 54 anos teve parte de seu órgão sexual retirada após descobrir um raro tipo de doença no sangue. Em partes específicas do corpo como o pênis, pernas e nádegas, sua pele escureceu e teve de ser retirada. A dor era tanta que nem os medicamentos conseguiam melhorar a situação. As informações são do site DailyMail.
 
O médico Edmond Sarkis, que tratou o senhor no Centro Médico de Nova Jersey, nos Estados Unidos, afirma que o diagnóstico foi de necrose, onde a pele morre prematuramente e “apodrece”.
 
— Assim que olhamos para as feridas já sabíamos o que estava acontecendo. Elas estavam com cor roxa muito escura, quase pretas. Nunca vi algo tão forte assim. Estava tomando todo o corpo dele.
 
Após exames, os médicos perceberam que o homem sofria de doença rara onde cálcio se acumula nas veias dos tecidos da pele. Sarkis afirma que os problemas de rim que o homem também tinha poderiam agravar a situação.
 
— Como os órgãos param de filtrar as toxinas do sangue, o cálcio acaba se acumulando. Por isso as manchas escuras e a dor excessiva, porque o sangue começa a ter dificuldades para passar.
 
Depois do diagnóstico, os médicos levaram o senhor à sala de operação, e a cirurgia para remover parte do órgão sexual que havia escurecido levou quatro horas. Após ter se recuperado, o homem voltou para casa, mas faleceu depois de contrair uma infecção, pois estava debilitado e pegou uma pneumonia.
 
R7

Consulta Pública avalia lista de substâncias para filtros solares

Já está em andamento a Consulta Pública 28/2015 que atualiza o Regulamento Técnico Mercosul sobre a lista de filtros ultravioletas permitidos para produto de higiene pessoal, cosméticos e perfumes
 
O prazo para contribuições começou no último dia 21 de abril e vai até o próximo dia 19 de junho, com 60 dias de consulta.
 
A atualização periódica das listas de substâncias utilizadas em cosméticos é necessária para seguir a evolução técnico-científica correspondente ao desenvolvimento de novas tecnologias e novas informações sobre uso e restrições destes insumos.
 
O trabalho é um tema permanente na pauta das reuniões do Mercosul. As listas incluem as categorias corantes, conservantes, filtros ultravioletas, além de substâncias de uso restrito ou proibido.
 
O novo regulamento substituirá a resolução vigente, RDC 47/2006, que estabelece a atual lista de filtros ultravioletas permitidos para produtos de higiene pessoal, cosméticos e perfumes.
 
O texto integral da proposta e o formulário específico para contribuição estão disponíveis no site da Agência. Para participar basta acessar a página CP n°28/2015 no site da Anvisa e preencher o formulário.
 
ANVISA 

Uso excessivo de descongestionante nasal pode causar rinite medicamentosa

Utilizados para aliviar a respiração, os descongestionantes nasais podem agravar o problema nasal, se aplicados em excesso
 
É que seu uso prolongado, por mais de cinco dias consecutivos, pode causar rinite medicamentosa pela dependência deste medicamento - composto geralmente por oximetazolina, fenilefedrina e nafazolina - e pelo chamado "efeito rebote".
 
"O uso de descongestionante provoca alívio imediato da obstrução nasal e isto estimula o seu uso frequente. Mas estes medicamentos, se utilizados por mais de cinco dias, podem provocar dependência e o chamado efeito rebote, ou seja, após a cessação do seu uso, a obstrução volta ocorrer de forma mais intensa e frequente, chegando ao ponto de a sua falta provocar a obstrução nasal, sem nenhuma outra patologia", clarifica o pneumologista da Clínica de Doenças Respiratórias de Francisco Beltrão, Dr. Redimir Goya.

O médico explica também que estes medicamentos agem nos vasos sanguíneos, inclusive sendo absorvidos e podendo causar danos sistêmicos, e por isso a precaução é ainda maior em pacientes hipertensos e cardiopatas. O tratamento consiste no desmame gradual da droga e o uso de outras substâncias para combater a dependência dos vasoconstrictores nasais.
 
"Para as pessoas que têm obstrução nasal constante, importante é procurar aconselhamento médico para que se possa estabelecer precisamente o seu diagnóstico. Existem casos que, para ocorrer a melhora, deve-se se submeter a tratamento cirúrgico", afirma.
 
Jornal de Beltrão / Guia da Pharmacia

terça-feira, 28 de abril de 2015

O que acontece se você beber 10 latas de Coca-Cola por dia durante um mês?

1111Quantas latas de refrigerante você bebe por dia? Um homem resolveu descobrir o que aconteceria com sua saúde ingerindo 10 latas de Coca-Cola diariamente durante um mês

George Prior resolveu demonstrar as mudanças aparentes e ocultas por conta da ingestão elevada de açúcar presente na bebida e em outros refrigerantes.

Ele pesava saudáveis 76 quilos antes de iniciar o experimento. Seu peso logo chegou à casa dos 80 quilos, enquanto ele continuava seu experimento.

No fim do processo, ele havia engordado nada menos que 10 quilos em um mês.

A experiência foi realizada para chamar atenção das pessoas sobre o efeito do acúmulo de refrigerantes no corpo humano.
 
Gadoo

Número de mortes causadas por dengue sobe 560% este ano em São Paulo

Agentes de saúde visitam casas para combate o mosquito da dengue no bairro Novo Horizonte em Mogi das Cruzes (SP), no sábado (25). A cidade sofre com o surto da doença
Jonny Ueda/Futura Press/Agência Estado: Agentes de saúde
visitam casas para combate o mosquito da dengue no bairro
 Novo Horizonte em Mogi das Cruzes (SP), no sábado (25).
A cidade sofre com o surto da doença
O número de mortes causadas pela dengue no estado de São Paulo, em 2015, já é de 99 e representa um aumento de 560%, na comparação de com 2014, quando, no mesmo período, morreram 15 pessoas, segundo o último balanço divulgado pelo Ministério da Saúde, que leva em conta os óbitos ocorridos até 28 de março

Em todo o país, a quantidade de mortos pela dengue em 2015 (132), até 28 de março, é 29% superior ao registrado no mesmo período de 2014 (102 mortes).

O Ministério da Saúde registrou, até 28 de março, 460,5 mil casos de dengue no país. O aumento é de 240,1%, comparado ao mesmo período do ano passado, quando foram registrados 135,3 mil casos da doença.

No estado de São Paulo, o número de casos chega a 257.809, 633% superior ao registrado em 2014 até a mesma data (28 de março). Segundo a Secretaria da Saúde paulista, cerca de dois terços de todos os casos de dengue neste ano estão concentrados em apenas 30 municípios paulistas, entre eles a capital do estado. Dos 645 no estado, 280 apresentaram quadro de epidemia neste ano, quando há índice de incidência maior do que 300 casos para cada 100 mil habitantes.
 
UOL

Obesidade materna e genética aumentam risco de diabetes 1 em crianças

A diabetes tipo 1 é mais comum em filhos de mães obesas, mas é ainda mais frequente em pessoas com pais diabéticos - mostrou um estudo sueco que será publicado na terça-feira (28)
 
A diabetes tipo 1 ocorre mais frequentemente em crianças e jovens, enquanto a diabetes tipo 2, que é responsável por quase 90% dos casos, ocorre mais frequentemente em adultos, geralmente acima do peso.
 
Publicado na revista Diabetologia, da Associação Europeia para o Estudo da Diabetes, o estudo envolveu 1,2 milhões de crianças suecas nascidas entre 1992 e 2004 que foram acompanhadas até 2009, quando 5.771 tinham desenvolvido diabetes tipo 1.
 
Liderado pelo professor Tahereh Moradi, do Instituto Karolinska, em Estocolmo, o estudo mostrou que crianças nascidas de mulheres obesas (definida pelo índice de massa corporal - IMC - superior a 30) durante o primeiro trimestre de gravidez tiveram um risco aumentado de 33% de ter diabetes tipo 1 em comparação aos filhos de mulheres com peso normal (IMC entre 18,5 e 25).
 
Mas o risco de diabetes quintuplicou quando o pai era diabético e por três se a mãe era diabética, mas não obesa.
 
"Os riscos mais significativos foram observados em crianças cujos próprios pais tinham diabetes tipo 1", observam os autores do estudo, que também alertou para a obesidade ou excesso de peso materno, que aumentam o risco de diabetes em famílias não-diabéticas.
 
Por isso, a prevenção do excesso de peso e obesidade em mulheres em idade fértil - fenômeno que aumenta em todos os países - podem, segundo os pesquisadores, "ajudar a reduzir a incidência de diabetes tipo 1".

UOL

Conheça mais sobre os métodos contraceptivos distribuídos gratuitamente no SUS - Parte II

Crédito: Victor Brave
Nesta matéria mostraremos mais algumas alternativas que estão disponíveis no SUS
 
Pílula anticoncepcional de emergência
É um método utilizado para evitar uma gravidez indesejada após uma relação sexual desprotegida. A pílula anticoncepcional de emergência também é conhecida como pílula do dia seguinte. Pode ser usada em situações como: relações sexuais desprotegidas, rompimento do preservativo, em caso de deslocamento do diafragma, deslocamento e expulsão do DIU, uso incorreto da pílula anticoncepcionals ou em situações de violência sexual.
 
A pílula anticoncepcional de emergência ajuda a diminuir o número de abortos provocados, na medida em que evita a gravidez não desejada impedindo ou retardando a ovulação e diminuindo a capacidade dos espermatozoides de fecundarem o óvulo. Deve ser utilizada até cinco dias após a relação sexual desprotegida.
 
A pílula anticoncepcional de emergência não é abortiva, porque ela não interrompe uma gravidez já estabelecida. A pílula anticoncepcional de emergência não deve ser usada como método anticoncepcional de rotina, ou seja, substituindo um outro método anticoncepcional. Deve ser usada apenas em casos de emergência, porque a dose de hormônios é maior em relação às outras. A pílula de emergência pode ser utilizada por qualquer mulher em idade fértil, independente da idade. Não há restrição do uso por adolescentes.
 
Métodos Cirúrgicos
São métodos contraceptivos de caráter definitivo. Deve-se levar em consideração a possibilidade de arrependimento da mulher ou do homem e o pouco acesso das pessoas às técnicas de reversão da cirurgia.
 
A Lei do Planejamento Familiar, Lei n° 9.263/96 só permite realizar a ligadura de trompas/laqueadura e a vasectomia nas seguintes condições:
 
1. Em homens e mulheres com capacidade civil plena e maiores de 25 anos de idade, ou pelo menos com dois filhos vivos, desde que observado o prazo mínimo de 60 dias entre a manifestação da vontade e o ato cirúrgico.
 
2. Nos casos em que há risco de vida para mulher ou riscos para a saúde da mulher ou do futuro bebê.

A Lei do Planejamento Familiar proíbe a realização da ligadura de trompas/ laqueadura durante o período de parto ou aborto, exceto nos casos de comprovada necessidade. Esses momentos não são os mais adequados para a realização dessa cirurgia.

Ligadura de trompas ou laqueadura
É uma cirurgia simples realizada na mulher para evitar a gravidez. É um método anticoncepcional considerado permanente ou irreversível, porque, depois de feita a cirurgia, é muito difícil recuperar a condição de ter filhos. É um método cirúrgico que bloqueia as trompas uterinas para evitar que os espermatozoides cheguem ao óvulo.

Vasectomia
É uma cirurgia simples, segura e rápida, que pode ser feita em ambulatório, com anestesia local e o homem não precisa ficar internado. Nessa cirurgia, os canais deferentes são bloqueado impedindo que os espermatozoides se misturem ao esperma durante a ejaculação.

O efeito não é imediato. Nas primeiras ejaculações depois do procedimento, ainda existem espermatozoides no esperma ejaculado, ou seja, ainda existe o risco de o homem engravidar a mulher.

A vasectomia só será considerada segura quando o exame realizado no esperma, o espermograma, mostrar que não existem mais espermatozoides no esperma ejaculado. Até que o espermograma seja negativo, o homem ou a mulher devem usar algum outro método para evitar a gravidez. O procedimento não causa nenhum problema de saúde para o homem e não altera sua vida sexual. O desejo e a potência sexual continuam iguais ao que eram antes da cirurgia.

Preservativo masculino e feminino
O preservativo masculino ou feminino deve ser utilizado em todas as relações sexuais pois eles são, indiscutivelmente, os únicos métodos contraceptivos que podem proteger simultaneamente da gravidez indesejada e das DST/HIV.

Assim, é importante que mesmo quando a mulher, o homem ou os parceiros optem por outro método contraceptivo, ainda assim utilizem o preservativo feminino ou masculino, o que garantirá a dupla proteção contra a gravidez (no caso de um método falhar, o outro ainda será eficaz) e a proteção única contra DST/HIV, que só pode ser alcançada por meio do uso do preservativo.

Preservativo masculino/Camisinha masculina
O método mais conhecido é feito de látex, um tipo de borracha, que cobre o pênis durante a relação sexual, para impedir o contato do pênis com a vagina, com o ânus ou com a boca. Ele funciona como uma barreira, poiso esperma ejaculado pelo homem fica retido na camisinha. A camisinha masculina também é eficaz para proteger das DST/HIV/AIDS quando usada em todas as relações sexuais, antes de qualquer contato do pênis com a vagina, com o ânus ou com a boca.

O preservativo é descartável, não devendo ser reutilizado.

Preservativo feminino/Camisinha feminina
É fino, lubrificado, liso e transparente e não deve ser reutilizado. Tal qual a masculina é eficaz para proteger da gravidez indesejada e de DST/HIV/AIDS. Funciona como uma barreira impedindo a passagem dos espermatozoides.

 A camisinha feminina deve ser usada em todas as relações sexuais, mesmo durante a menstruação. Pode ser colocada na vagina imediatamente antes da penetração ou até oito horas antes da relação sexual. A camisinha é prática e não atrapalha o prazer sexual.
 
Lembre-se! Os preservativos feminino e masculino não devem ser usados ao mesmo tempo, porque o atrito entre eles aumenta o risco de rompimento. Para a relação sexual escolha apenas um dos tipos de camisinha.
 

Conheça mais sobre os métodos contraceptivos distribuídos gratuitamente no SUS - Parte I

Crédito: Victor BraveO planejamento sexual e reprodutivo é condição importante para a saúde das mulheres e homens adolescentes, jovens e adultos
 
Todos os indivíduos têm o direito de decidir de forma livre e responsável se querem ou não ter filhos(as), quantos filhos(as) desejam ter e em que momento de suas vidas. Desta forma, todos têm direito à atenção em planejamento reprodutivo, ou seja, acesso aos métodos e técnicas para a concepção e a anticoncepção, mas também a informações e acompanhamento por um profissional de saúde, num contexto de escolha livre e informada. Também têm direito de exercer a sexualidade e a reprodução livre de discriminação, imposição e violência.
 
É fundamental o envolvimento dos homens com relação à paternidade responsável, à prevenção de gestações não desejadas e à prevenção das DST/HIV/Aids. Por isso, o Sistema Único de Saúde (SUS) oferece várias opções de métodos contraceptivos e ações para auxiliar o planejamento sexual e reprodutivo, tanto para ajudar quem que ter filhos com orientações para a concepção, quanto para prevenir uma gravidez indesejada, fornecendo informações importantes e acesso a recursos para a anticoncepção, e prevenir as doenças sexualmente transmissíveis.
 
Os métodos contraceptivos são recursos que podem ser comportamentais, medicamentosos, ou cirúrgicos, usados pelas pessoas para evitar a gravidez indesejada. Existem métodos femininos e masculinos, reversíveis e irreversíveis.
 
Os métodos reversíveis são aqueles que, como diz o nome, podem ser revertidos. Ou seja, quando a pessoa deixa de utilizá-los, poderá engravidar. Já os métodos irreversíveis, como a ligadura de trompas uterinas/ laqueadura e a vasectomia, são aqueles que, após utilizados, é muito difícil a pessoa recuperar a capacidade de engravidar. Por isso, para optarem por esses métodos as pessoas precisam estar seguras de que não querem mais ter filhos. .

É importante lembrar que dentre todos os métodos contraceptivos, os preservativos feminino e masculino são os únicos que oferecem proteção contra doenças sexualmente transmissíveis, inclusive o HIV/aids e as hepatites virais.
A escolha do método anticoncepcional deve contar com o auxílio e orientação de um profissional de saúde que oriente quais os métodos disponíveis, como utilizá-los, quais as vantagens e desvantagens de cada um e avalie junto com a mulher, o homem ou os dois qual o método mais indicado para cada situação. Estar bem informado é fundamental para se fazer a melhor escolha.
 
Os adolescentes e as adolescentes também têm direito ao acesso aos métodos contraceptivos, inclusive a pílula de emergência, e à confidencialidade e sigilo sobre sua atividade sexual e prescrição de métodos contraceptivos, não sendo necessário o consentimento ou participação dos pais/responsáveis nas consultas, conforme Estatuto da Criança e do Adolescente.
 
Pílula anticoncepcional combinada
São pílulas que contêm dois hormônios similares produzidos pelos ovários da mulher, o estrogênio e a progesterona. Podem ser usadas por quase todas as mulheres com segurança e eficácia. A pílula deve ser tomada, sem interrupções, durante 21 dias, de preferência no mesmo horário, todos os dias.

As pílulas combinadas podem ser usadas por mulheres de qualquer idade, a partir da primeira menstruação, desde que não apresentem nenhuma contraindicação para o seu uso.

Não deve ser utilizada durante a amamentação, pois interfere na qualidade e na quantidade do leite materno.
 
Minipílula anticoncepcional
É uma pílula que contém apenas um dos hormônios, a progesterona. Mais indicada durante a amamentação, iniciando o seu uso na 6ª semana após o parto.
 
Anticoncepcionais injetáveis
Os anticoncepcionais injetáveis também são feitos de hormônios similares aos das mulheres. Existem dois tipos de injetáveis: injetável mensal e injetável trimestral.Tal qual as pílulas anticoncepcionais, as injeções mensais são compostas de estrogênio e progesterona. Com a interrupção da injeção mensal, a fertilidade da mulher, que é a capacidade de engravidar, logo retorna, já com a trimestral, pode haver um atraso no retorno da fertilidade da mulher. A injeção trimestral pode ser usada durante a amamentação e, nesse caso, seu uso deve ser iniciado seis semanas após o parto. Com o uso da injeção trimestral, é muito frequente a mulher ficar sem menstruar e, em média, o retorno da fertilidade pode demorar quatro meses após o término do efeito da injeção.
 
Diafragma
O diafragma, método anticoncepcional de barreira e não hormonal, é um anel feito de silicone ou látex, tem bordas firmes e flexíveis, praticamente não apresenta efeitos colaterais, nem contra indicações. O método é uma opção importante para mulheres que não se adaptam aos métodos hormonais e pode ser interrompido a qualquer momento. As mulheres são diferentes, por isso existem diversos tamanhos de diafragma, sendo necessária a medição por profissional de saúde. O diafragma deve ser colocado em todas as relações sexuais antes de qualquer contato entre o pênis e a vagina e deve ser retirado oito horas após a última relação sexual.
 
Dispositivo intra-uterino – DIU
O DIU é um pequeno objeto de plástico revestido de cobre, colocado no interior da cavidade uterina com fins contraceptivos, de caráter temporário e reversível. Ele não provoca aborto, porque atua antes da fecundação.

É um método altamente eficaz, que não apresenta os efeitos colaterais do uso de hormônios e pode ser utilizada para prevenir a gravidez por um período de até 10 anos. O DIU pode ser retirado no momento em que a mulher desejar, permitindo que ela volte imediatamente à sua capacidade de engravidar. Não interfere nas relações sexuais nem na qualidade ou quantidade do leite materno. É contraindicado para mulheres que têm mais de um parceiro sexual, ou cujos parceiros têm outros parceiros/parceiras, e não usam preservativo em todas as relações sexuais.
 
Na próxima matéria do Blog da Saúde você conhece mais métodos contraceptivos distribuídos gratuitamente no SUS.
 

Em Porto Alegre associação voluntária distribui remédios sem uso para doenças graves

Milhões de pessoas sofrem com doenças graves, passam por tratamentos severos e, muitas vezes, precisam depender de medicamentos caros para ter qualidade de vida
 
Pensando naqueles que não têm como comprometer uma significativa parcela de sua renda na compra de remédios nem os encontram para distribuição gratuita no SUS (Sistema Único de Saúde), surgiu uma associação que procura auxiliar pacientes em todo o país.
 
Criado em Porto Alegre, o Banco de Remédios é uma associação independente que disponibiliza todo tipo de medicamento de forma gratuita a pacientes que não têm condições de comprá-los. Atualmente são cerca de 2.000 associados no Brasil que pagam uma contribuição mensal de R$ 30 e recebem remédios que podem custar mais de R$ 1.000 cada caixa.
 
A associação, que já tem nove anos e conta com trabalho de voluntários, nasceu da experiência do administrador Dámaso MacMillan, 62, que viu de perto essa situação. Depois de ser diagnosticado com uma doença incurável, passou por transplante de rins e, agora, é um caso raro que não necessita mais de remédios. “Fiquei oito anos em tratamento antes do transplante. Sou transplantado há 30 anos e sempre tive grande dificuldade para conseguir medicamentos, até porque são extremamente caros”, afirma.
 
Já curado, ele viu sua dispensa cheia de medicamentos sem mais necessidade, ao mesmo tempo em que presenciava de perto amigos do grupo de transplantados — o SOS Rim – do qual fazia parte passarem por dificuldades.
 
“Resolvemos, através da SOS Rim, criar um banco específico para pacientes renais. Mas médicos de diferentes especialidades foram nos indicando pacientes, até que resolvemos abrir o banco a qualquer tipo de doença. Hoje atendemos todas as patologias existentes e buscamos os medicamentos nos mais diversos locais para que possamos ajudar nossos associados”, explica.
 
O Banco de Remédios não compra nada. Ele recebe medicamentos já esquecidos nas prateleiras, seja de ex-pacientes já curados ou que mudaram de tratamento ou ainda de médicos que possuem estoques de amostras grátis. As caixas de remédios são doadas à associação, que faz uma triagem para verificar as que têm condições de serem repassadas e ofertadas aos associados.
 
“Atuamos especialmente com medicamentos de alto custo, como aqueles para pacientes de câncer e transplantados. Também recebemos remédios mais simples, que são distribuídos pelo SUS. Porém, às vezes, as pessoas não conseguem encontrar certos remédios nas farmácias do Estado e vêm até nós”, explica MacMillan.
 
Há, por exemplo, casos como o de um remédio antivirótico geralmente receitado para transplantados, cuja caixa com 42 comprimidos chega a custar cerca de R$ 1.000 — e o paciente precisa tomar até dez caixas do medicamento por mês.
 
O Banco de Remédios é uma alternativa para pessoas como Márcia Ferraz, 49. Desempregada há mais de dois anos, ela gastava R$ 300 por mês em medicamentos controlados. “Descobri o banco pela minha tia, de 87 anos, que toma uma série de remédios caros. É um auxílio muito grande. Antes eu dependia do apoio da família ou de algum amigo. Agora venho aqui buscar remédios para ela e para mim.”
 
Nenhum medicamento sai do Banco de Remédios sem que seja apresentada uma receita médica dentro da validade. Além disso, o paciente necessita comprovar que realmente usa o remédio e que não possui condições de comprá-lo. Já as substâncias invalidadas para a redistribuição, como as mal acondicionadas ou os que já passaram do prazo de validade, são entregues a uma empresa parceira especializada que faz o seu descarte de forma segura.
 
Um das características que difere o Banco de Remédios de uma farmácia popular, segundo Dámaso MacMillan, é a disponibilidade em solicitar por via judicial o fornecimento de um remédio a um associado. “Na falta coletiva de algum medicamento, entramos com uma ação. Um dos exemplos é o de um associado que estava sem remédio porque os dois fabricantes brigavam para ver quem poderia fornecer ao Estado. Entramos na Justiça e ganhamos os remédios para aquele paciente.”
 
Desperdício
Há um grande descontrole no gerenciamento da distribuição dos remédios no país. No ano passado no Rio Grande do Sul, 8,4 toneladas de medicamentos com os prazos de validade vencidos foram enterradas na região metropolitana de Porto Alegre — um valor estimado em R$ 3,2 milhões.
 
“Hoje a falta de medicamento ocorre no mundo inteiro. Não desperdiçar é um ato tão significativo que pode ajudar a vida de alguém”, afirma MacMillan. “O banco é uma instituição que a cada dia fica mais forte e está se transformando em uma rede social, com a qual podemos ajudar praticamente todo mundo. Essa é a nossa missão”, diz MacMillan.
 
Para o idealizador do Banco de Remédios, a iniciativa pode se multiplicar e interferir na ingerência dos medicamentos em nível internacional. “No Brasil não faltam medicamentos. A gente está botando remédio no lixo Por que não pegar esses medicamentos que sobram e repassar a um outro país, em especial os que são extremamente pobres, como o Haiti? Isso não compete ao governo, mas sim à sociedade”, afirma.
 
O Banco de Remédios está localizado no Centro de Porto Alegre.
 
UOL

Saiba mais sobre a sífilis doença que pode provocar queda de cabelo e até aborto em gestantes

Treponema Pallidum
A sífilis é uma doença infecciosa causada pela bactéria Treponema Pallidum. Ela pode ser transmitida de uma pessoa para outra durante a relação sexual sem camisinha, por transfusão de sangue contaminado ou da mãe infectada para o bebê durante a gestação ou o parto
 
Os primeiros sintomas são pequenas feridas nos órgãos sexuais e caroços nas virilhas, que surgem entre sete e 20 dias após a relação desprotegida com alguém infectado. As feridas não doem, não coçam, não ardem e não apresentam pus. Mas, se não forem tratadas podem se desenvolver e provocar manchas em várias partes do corpo e queda de cabelo.
 
De acordo com o diretor do Departamento de DST/Aids e Hepatites Virais do Ministério da Saúde, Fábio Mesquita, a população precisa ficar atenta a alguns cuidados.“É uma doença possível de controlar, é possível erradicar, sobretudo a sífilis congênita.
 
Hoje, é muito importante que a população faça o diagnóstico. É fundamental que todas as mulheres gestantes insistam com o seu médico para fazer o exame de sífilis para poder proteger o bebê. Uma outra medida extremamente importante para a população para se proteger da sífilis é o uso da camisinha. A gente tem este meio que protege não só contra a sífilis, mas também de outras doenças como a aids, a hepatite B e, portanto, é importante que nos relacionamentos sexuais a gente insista no uso da camisinha.”
 
Quando não existem sinais ou sintomas, é necessário fazer um teste laboratorial ou teste rápido, disponibilizado gratuitamente pelo Ministério da Saúde em todo o território brasileiro.
 
A nova tecnologia de testagem permite que os resultados sejam feitos em, no máximo, 30 minutos, sem a necessidade da estrutura de um laboratório. Se você foi diagnosticado com sífilis, procure uma unidade de saúde próxima de casa, para indicar o tratamento mais adequado. Para saber mais acesse a página www.aids.gov.br/sifilis

Fonte: Victor Maciel/ Agência Saúde

Pediatras defendem seringa como melhor forma de dosar remédio

A hora de medicar os filhos pode ser um momento de muita tensão para os pais. Além de as crianças, geralmente, não gostarem de tomar remédio, muitos adultos têm dificuldade para dar a dose adequada
 
Para evitar subdosagem ou superdosagem, pediatras recomendam a troca de medidas caseiras, como colheres, e dos copos medidores, disponíveis em alguns medicamentos, pela seringa, que é a forma mais precisa para administrar as substâncias.
 
Com o aumento de casos de intoxicação por medicamentos nos Estados Unidos, a AAP (Academia Americana de Pediatria) criou uma diretriz sobre o tema que estabelece que os médicos adotem o sistema métrico em mililitros (ml) para a prescrição. A organização defende o uso de seringas que tenham essa graduação.
 
Ainda de acordo com essa orientação da entidade, os médicos devem explicar bem aos pais como a administração deve ser realizada, além de explicitar, na receita, a frequência que o medicamento tem de ser tomado.
 
No Brasil, segundo Tadeu Fernando Fernandes, presidente do Departamento de Pediatria Ambulatorial da SBP (Sociedade Brasileira de Pediatria), o órgão responsável por normatizar a presença dos dosadores nos medicamentos vendidos é a Anvisa (Agência Nacional de Vigilância Sanitária).
 
“Por enquanto, não há uma lei, mas a indústria farmacêutica tem colocado a seringa dosadora em remédios em que a precisão da dose é fundamental. A SBP recomendou e orientou a Anvisa para que a seringa passe a vir com todos os remédios, mas isso ainda não foi normatizado”, declara Fernandes.
 
Apesar de inadequado, Lucilia Faria, pediatra do corpo clinico do Hospital Sírio-Libanês, em São Paulo, afirma que, ainda hoje, há pediatras que prescrevem, na receita, algumas medidas caseiras, “como uma colher de sopa de xarope”.
 
Como cada faqueiro tem proporções diferentes, o risco de dar remédio a mais ou a menos para a criança é grande. “Caso o médico faça uma receita com medidas caseiras, os pais devem solicitar, na mesma hora, que o profissional prescreva a quantidade em mililitro”, fala Lucilia.
 
Os copos medidores também apresentam problemas de precisão da dose, já que as marcas com as graduações são muito pequenas e difíceis de enxergar. “Eles também oferecem riscos de ferimentos na boca da criança e podem ser engolidos”, afirma Fernandes. O pediatra Moises Chenchinski aponta outra desvantagem do acessório: a criança pode derrubar parte do medicamento ou cuspir.
 
Além de mais precisa, a seringa, por sua vez, é mais fácil de ser manejada pelo adulto. “Os pais devem colocá-la na lateral da boca da criança e pressionar o êmbolo aos poucos, pois um volume grande do líquido pode provocar engasgo”, explica a pediatra Lucilia.
 
Caso o medicamento prescrito pelo médico não venha com seringa dosadora, Chencinski orienta que os pais comprem uma. “É importante que seja um produto com selo do Inmetro (Instituto Nacional de Metrologia, Qualidade e Tecnologia) e aprovado pela Anvisa”, afirma.
 
UOL

Cientistas identificam neurônios responsáveis pela sensação de fome

Descoberta abre caminho para desenvolvimento de droga que pode revolucionar dietas para emagrecer
 
Aquelas dores incontroláveis de fome, capazes de aniquilar qualquer dieta, podem chegar ao fim. Cientistas americanos e britânicos identificaram as células do cérebro responsáveis por controlar a sensação de fome, abrindo caminho para o desenvolvimento de uma droga que regule esse mecanismo. As informações constam de um estudo publicado na revista “Nature Neuroscience” nesta segunda-feira.
 
Livres da sensação desagradável de vazio no estômago, as pessoas podem emagrecer com mais facilidade. Uma droga capaz de proporcionar isso poderia ser uma arma contra a crescente obesidade no mundo, dizem pesquisadores.
 
A nova descoberta gira em torno de um pequeno grupo de células do cérebro conhecidas como neurônios PVH MC4R. Ao desligá-las, a fome aumenta e ao ativá-las, o apetite desaparece. Num experimento feito em camundongos, os animais que tinham ido dormir com o estômago cheio ficaram famintos quando o circuito foi desligado.
 
O pesquisador Alastair Garfield, da Universidade de Edimburgo, relatou que o efeito foi semelhante ao de alguém que tinha terminado o jantar às 21h , acordou à meia-noite e estava com tanta fome que podia tomar café da manhã. Ativar isso que ele chamou de “hub da fome” fez com que os animais perdessem completamente o apetite.
 
Um segundo experimento tentou descobrir que tipo de sentimento os neurônios PVH MC4R geravam quando ligados. Camundongos famintos foram colocados em uma caixa com duas saídas, uma delas equipada com laser para ativar esses neurônios — e os roedores pareciam ser atraídos para esta porta, o que sugere uma reação de prazer em seus cérebros. Em contraste, animais que tinham acabado de comer ficaram divididos igualmente entre as duas saídas.
 
Acredita-se que as células não cortam o apetite criando náusea ou outras sensações desagradáveis, e sim reprimindo a angústia de fome e a irritação que muitas vezes a acompanha.
 
O pesquisador Bradford Lowell, do Centro Médico Beth Israel Deaconess, em Boston, disse que a ativação dos neurônios PVH MC4R teve o mesmo efeito que a dieta.
 
No entanto, qualquer droga que mexa com a química do cérebro precisa ser extremamente segura antes de ser liberada para uso.
 
O Globo

segunda-feira, 27 de abril de 2015

Primeiro medicamento biológico por comparabilidade é registrado pela Anvisa

A Anvisa aprovou o primeiro medicamento biológico pela via de desenvolvimento por comparabilidade. O registro do anti-inflamatório Remsima (infliximabe) foi publicado no Diário Oficial da União desta segunda-feira (27/04)
 
O exercício de comparabilidade foi avaliado para demonstrar a similaridade entre o Remsima e o produto biológico comparador, o Remicade.

Esse processo foi necessário porque, de acordo com as regras previstas na RDC 55/2010, o produto biológico que se pretende registrar por essa via de desenvolvimento deve ser analisado tendo por base o produto biológico comparador (produto biológico novo).

Durante a avaliação, todas as etapas para o registro – como análise da tecnologia farmacêutica, eficácia e segurança – foram cuidadosamente mantidas.
 
O Remsima foi aprovado para as seguintes indicações terapêuticas:
 
- Artrite reumatoide;
 
- Espondilite anquilosante;
 
- Psoríase;
 
- Artrite psoriásica;
 
- Doença de Crohn em adultos;
 
- Doença de Crohn pediátrica;
 
- Doença de Crohn Fistulizante,
 
- Colite e Retocolite ulcerativa.
 
ANVISA

Refluxo gastroesofágico: cura nem sempre é possível, mas tratamento controla os sintomas

Mudanças na alimentação e até cirurgia podem ajudar paciente

Dr. Leonardo Peixoto Gastroenterologista - CRM 780553/RJ
 
Refluxo gastroesofágico é o retorno do alimento do estômago para o esôfago. A doença do refluxo gastroesofágico (DRGE) é definida pela presença do refluxo associada a sintomas ou complicações.    

O diagnóstico se baseia nos sintomas ou em exames complementares. As queixas incluem os sintomas típicos (queimação retroesternal e regurgitação) e atípicos (sensação de impactação alimentar, tosse crônica, asma, fibrose pulmonar, pneumonia, dor torácica, laringite, sinusite, otite, aftas, rouquidão, pigarro, halitose e erosão dentária).
 
Nem sempre é necessária a realização de endoscopia digestiva alta em todos pacientes com DRGE. Em pessoa jovens, com sintomas sugestivos de refluxo e na ausência de sinais de alarme (dor ou dificuldade para engolir, anemia, emagrecimento, vômitos importantes e história de câncer na família), pode-se optar por realizar tratamento empírico, com medicamentos e dieta, por até 8 semanas e observar se há remissão da doença. Caso não seja obtida a cura, exames complementares como a endoscopia digestiva alta devem ser feitos a fim de avaliar a gravidade da doença e excluir alterações mais graves como úlceras, estenoses, esôfago de Barrett e câncer.    
 
O pilar principal do tratamento são ajustes na dieta e medidas posturais. Recomenda-se uma alimentação adequada, procurando evitar alimentos que sabidamente desencadeiem sintomas de refluxo, além de álcool, alimentos cítricos, cafeína, bebidas gasosas, chocolate, tomate, alguns condimentos e temperos, alimentos gordurosos, menta e hortelã. Além disso, deve-se evitar refeições copiosas, não deitar por três horas após comer, alimentar-se a cada três horas, parar de fumar, evitar obesidade e roupas apertadas e não exercitar-se após a alimentação. Para evitar o refluxo noturno, eleva-se a cabeceira da cama em 15 cm, permitindo que o material refluído para o esôfago retorne prontamente ao estômago.      
 
Quando estas medidas são insuficientes para controlar a doença, avaliamos os tratamentos medicamentoso e cirúrgico.  
 
Possibilidades de cura
Deve-se acrescentar que habitualmente a DRGE é uma enfermidade crônica, de forma que para a maioria dos casos o objetivo do tratamento não visa a cura da doença, mas sim o controle dos sintomas e a prevenção de complicações como úlceras, estreitamentos do esôfago e câncer.   
 
Quando se encontram fatores causais para a DRGE e estes são resolvidos, pode-se "curar" a doença.
 
No caso da obesidade, a perda de peso pode resolver o problema. Quando o refluxo é causado pela gestação, ao término desta é provável que os sintomas parem. No caso da hérnia de hiato e hipotonia do esfíncter esofagiano inferior, a cirurgia pode eventualmente curar o paciente. Caso esteja associado a medicamentos como betabloqueadores, broncodilatadores, bloqueadores dos canais de cálcio, agonistas dopaminérgicos, sedativos e antidepressivos tricíclicos, o plano terapêutico deve ser revisto por um médico. No caso de gastroparesias após infecções, o retorno a contratilidade do estômago tende a cessar a enfermidade.                           
 
Entre os medicamentos utilizados podem ser citados antiácidos, antagonistas H2, inibidores de bomba de prótons e agentes procinétidos.      
 
Os antiácidos agem tamponando diretamente o ácido presente no estômago e têm como efeito colateral mais comum a alteração do hábito intestinal. Tem rápido início de ação, mas o efeito apresenta curta duração. Usualmente são administrados após as refeições.
 
Os antagonistas H2 (como a ranitidina) e os inibidores de bomba de prótons (por exemplo, o omeprazol) inibem a produção de ácido, tendo um tempo de ação mais prolongado que o dos antiácidos. Seus efeitos adversos incluem cefaleia, diarreia, constipação, alteração de eletrólitos e risco aumentado de gastroenterites e pneumonias.            
 
Os procinéticos aceleram a velocidade com que o alimento é transferido do estômago para o duodeno. Entre os efeitos adversos podemos citar alterações neurológicas, hormonais e arritmias cardíacas, de forma que deve-se ter cuidado com interações medicamentosas e com certos grupos de pacientes mais susceptíveis a esses efeitos colaterais, como crianças e idosos.          
 
Cirurgias antirrefluxo como a fundoplicatura de Nissen são usadas em casos selecionados, considerando idade do paciente, sintomas, características anatômicas e funcionais do esôfago, complicações do refluxo e preferências do paciente. Esta cirurgia consiste em envolver o esôfago com a parte do estômago que está mais próxima e costurar esse fundo gástrico ao redor do esôfago distal, formando uma válvula antirrefluxo. Geralmente a cirurgia é feita por via laparoscópica. Apesar de a mortalidade associada à cirurgia ser inferior a 1%, até um quarto dos pacientes apresenta sintomas no pós-operatório como dificuldade de engolir e sensação de distensão no estômago com dificuldade de arrotar. Além disso, após um período de 10 anos, a maioria dos pacientes volta a usar medicamentos para o tratamento da DRGE.
 
Minha Vida

Deixar bebê dormir na cadeirinha do carro pode ser fatal

Reprodução/DailyMail
Uso da cadeirinha precisa ser  supervisionado para que o bebê
não se sufoque, afirmam especialistas
De acordo com os médicos, há risco de o bebê ser estrangulado pelo cinto
 
Deixar o bebê dormir na cadeirinha dentro do carro pode ser fatal. Médicos afirmam que ao dormir, os bebês podem se mexer e acabar sufocados ou até estrangulados pelo cinto de segurança. As informações são do site DailyMail.
 
Pesquisadores do centro médico Penn State Milton S. Hershey, nos Estados Unidos, realizaram estudo sobre a morte de 47 crianças.Todos os casos estavam relacionados à mortes em carregadores móveis de crianças.
 
As entrevistas foram feitas com familiares, médicos e enfermeiras. Das 47 histórias, somente uma criança não teve morte relacionada à asfixia. Enquanto isso, 52% dos casos estavam relacionados à morte por estrangulamento.
 
O pediatra Erich Batra, que liderou o estudo, afirma que é essencial a supervisão das crianças.
 
— Nenhuma criança deve ficar sozinha, sem supervisão de um adulto, mesmo na cadeirinha.
 
Soubemos de casos em que a criança escorregou e o cinto acabou sufocando o bebê.
 
O médico acrescenta que as cadeirinhas não são feitas para deixar as crianças sem supervisão.
 
R7

Cuidados com o uso de medicamentos na gravidez

Orientar gestantes no momento da compra de medicamentos é essencial

A agência americana FDA classifica o ácido acetilsalicílico como de alto risco para os três primeiros meses da gravidez, com a possibilidade do bebê apresentar malformação.
 
Para que o medicamento possa ser liberado, o médico deverá analisar a real necessidade de seu uso. Os demais anti-inflamatórios e analgésicos, como diclofenaco, paracetamol ou ibuprofeno apresentam um perfil um pouco mais seguro, porém mantém-se a contraindicação.

Obviamente, as informações sobre o efeito desses medicamentos não são obtidos em experimentos controlados, pois estes são totalmente proibidos em grávidas.
 
Os dados provêm de bebês que apresentaram o problema e que possivelmente estão relacionados ao fato das gestantes terem ingeridos essas substâncias. Também sustentam essa advertência os resultados em experimentos bem controlados, obtidos em animais.
 
Utilizar esse tipo de medicamento pode apresentar mais dois problemas sérios. Um deles pode afetar o coração do feto. Quando em gestação, o feto não precisa respirar, pois recebe todo o oxigênio pela placenta da mãe. Desse modo, há um desvio dentro do coração do bebê diminuindo o fluxo de sangue para o seu pulmão.

Jornal da Orla

domingo, 26 de abril de 2015

Polêmica: cientistas modificam embriões humanos pela primeira vez

shutterstock_208569940
Os chineses levaram oficialmente a ciência para um território
 desconfortável
Pesquisadores da Sun Yat-sen University, em Guangzhou, modificaram genomas de embriões humanos
 
O estudo, que foi publicado na revista Protein & Cell, confirma os rumores de que alguns cientistas estavam realizando esses experimentos eticamente duvidosos.
 
“O estudo é um marco, assim como um alerta de prevenção. Ele deve servir de aviso para qualquer profissional que pensa que a tecnologia está pronta para o teste de erradicação de doenças genéticas”, diz George Daley, biólogo de células-tronco da Escola de Medicina de Harvard.
 
Resultados mistos
No estudo em questão, os pesquisadores tentaram substituir o gene responsável por uma doença do sangue potencialmente fatal chamado β-talassemia. Eles usaram uma técnica de edição de genes chamada CRISPR / Cas9 em embriões humanos unicelulares não viáveis. Esta técnica permite aos pesquisadores o corte e a emenda do DNA nos locais desejados.
 
A experiência não foi muito bem sucedida. Dos 86 embriões iniciais, apenas uma fração teve sucesso na substituição do gene problemático por uma cópia normal. Além disso, a CRISPR / Cas9 também introduziu novas mutações não intencionais em outros lugares do genoma.
 
Precedente preocupante
O precedente que a experiência estabelece, no entanto, é o que está causando a polêmica. Uma das maiores preocupações sobre a alteração do embrião humano é que as mudanças feitas são hereditárias. Em outras palavras, elas podem ser transmitidas a gerações futuras de maneira que os cientistas não podem, atualmente, prever.
 
Por esta razão, uma aliança de 170 grupos de pesquisa, institutos e grupos de pacientes pediu recentemente uma moratória sobre a edição do genoma em embriões humanos.
 
“Muitos se opõem a modificação da linha germinal com o fundamento de que permitir mesmo as intervenções terapêuticas mais inequívocas poderia nos levar a um caminho em direção a melhorias genéticas não terapêuticas. Partilhamos estas preocupações”, diz o texto.
 
As revistas Nature e Science, duas das publicações mais importantes do campo científico, rejeitaram o artigo por questões éticas.
 
Discover Magazine / Hypescience

Cientistas começam a constatar os benefícios do chá verde

Estudos recentes mostram como componentes da bebida evitam o entupimento de artérias e a formação de cânceres
 
Bem que as avós diziam: nada como um chazinho para restabelecer a saúde. Se, para elas, não há muita novidade nisso, somente poucos anos atrás os cientistas voltaram os olhos para ingredientes naturais utilizados na medicina popular. Entre eles, os extratos de frutas e flores servidos fumegantes. De todos, um dos mais promissores é o chá-verde, consumido na Ásia há pelo menos 5 mil anos. Estudos recentes demonstram que a bebida pode auxiliar na prevenção e no controle de diversas doenças: dos males neurodegenerativos aos metabólicos, como obesidade e diabetes 2.
 
Na semana passada, cientistas do Instituto de Pesquisas Alimentares da Inglaterra publicaram um estudo na revista Molecular Nutrition and Food Research afirmando que encontraram evidências sobre um mecanismo pelo qual compostos presentes no chá ajudam a proteger o organismo.
 
Paul Kroon, pesquisador do instituto e principal autor do artigo, lembra que já é de conhecimento público o benefício das frutas e dos vegetais na redução do risco de doenças crônicas, como câncer e problemas cardiovasculares. Segundo ele, há diversas razões para isso, incluindo a presença de polifenóis, compostos naturais com propriedades antioxidantes e anti-inflamatórias.
 
Agora, a equipe de Kroon constatou que os polifenóis do chá-verde bloqueiam a molécula VEGF, que, no corpo, pode desencadear o entupimento das artérias que irrigam o coração. Essa substância também tem sido alvo de alguns medicamentos oncológicos. “No corpo, a VEGF estimula a formação de vasos sanguíneos por meio da angiogênese. Esse processo é crucial para a progressão do câncer, assim como para o desenvolvimento das placas ateroscleróticas e para a formação de coágulos que causam ataques cardíacos e derrame”, explica.

No laboratório do Instituto de Pesquisas Alimentares, os cientistas aplicaram baixas concentrações de um tipo de polifenol do chá-verde em células derivadas de vasos sanguíneos humanos. Eles verificaram que a substância natural conseguiu inibir a sinalização da VEGF. “Esta é a primeira vez que um estudo comprova que os polifenóis interagem diretamente com a molécula para bloquear seus sinais em um nível que se pode ver na corrente sanguínea após a ingestão de alimentos ricos nessas substâncias”, diz Kroon. De acordo com ele, se esse efeito ocorrer no corpo inteiro e não só no sangue, essa será a explicação para os efeitos benéficos do chá-verde — e de outros ingrediente que contêm os mesmos polifenóis — para a saúde.

Pâncreas
No Instituto de Pesquisa Biomédica de Los Angeles, pesquisadores também tentam decifrar os mecanismos pelos quais o chá-verde atua em outra frente — o combate ao câncer. Muitos estudos sugerem que os compostos da bebida não apenas previnem, mas têm o potencial de lutar contra o desenvolvimento da doença. Contudo, sem saber exatamente como isso acontece, é impossível fabricar medicamentos que usem elementos do ingrediente como princípio ativo.
 
Em uma pesquisa recente, cientistas do instituto fizeram grandes avanços nesse sentido. Descobriram que um composto encontrado com abundância no chá-verde, a epigalocatequina-3-galato (EGCG), muda o metabolismo das células do câncer de pâncreas, um dos mais desafiadores para a medicina. A substância consegue fazer isso ao suprimir a expressão de uma enzima associada à doença, a LDHA. Sem a ação dessa enzima, as células doentes não conseguem se manter ativas.

“Nosso estudo mostrou que compostos do chá-verde mudam o sistema metabólico e têm um grande impacto sobre o câncer”, diz Wai-Nang Lee, principal autor do trabalho, publicado na revista Metabolics. “Explicando como o componente ativo do chá pode prevenir tumores, acreditamos que esse resultado pode abrir a porta para uma nova área de pesquisa sobre o câncer. Precisamos investir em pesquisas que nos ajudem a entender como os alimentos previnem e reduzem o crescimento das células cancerosas”, afirma.

“Explicando como o componente ativo do chá pode prevenir tumores, acreditamos que esse resultado pode abrir a porta para uma nova área de pesquisa sobre o câncer” - Wai-Nang Lee, pesquisador do Instituto de Pesquisa Biomédica de Los Angeles.

Melhora cognitiva

Os benefícios do chá-verde vão além das doenças crônicas. Males neurodegenerativos entram na lista dos que podem ser combatidos pelos compostos presentes na bebida. “No passado, os principais ingredientes desse chá foram exaustivamente estudados na pesquisa de câncer. Mas, recentemente, também estamos interessados nos impactos positivos dele sobre a performance cognitiva”, conta Christoph Beglinger, pesquisador do Hospital Universitário de Basel, na Suíça.

Ele conduziu um estudo sobre os benefícios das substâncias naturais do chá-verde no cérebro e obteve resultados promissores. “Descobrimos que o extrato do chá aumenta a efetividade das conexões cerebrais, algo que teve consequências práticas em testes que realizamos com pacientes”, conta. De acordo com Beglinger, os voluntários que tomaram o extrato se saíram melhor em testes de memória. Logo após ingerir uma bebida contendo muitos gramas do chá, os participantes resolveram problemas que exigiam a memória de trabalho, muito afetada em doenças como Alzheimer e demências em geral.

Em seguida, eles foram submetidos ao exame de ressonância magnética cerebral, que mostra a ativação das redes neuronais. As imagens revelaram que houve um aumento na conectividade entre o córtex parietal e o frontal, áreas relacionadas à retenção de informação. “Ao menos em curto prazo, o chá-verde aumenta a plasticidade das conexões do cérebro”, diz o pesquisador.

Origem chinesa
Associado à Inglaterra, onde é quase uma instituição há mais de três séculos, o chá tem, na verdade, origem na China. A história da bebida teria começado em 2.737 a.C., durante o império de Shen Nung. De acordo com a lenda, ele estava sentado debaixo de uma árvore enquanto seu empregado segurava uma xícara com água fervente. Folhas caíram no recipiente, aguçando a curiosidade de Nung, um herbalista renomado. Ele, então, resolveu provar a infusão criada acidentalmente.

Se a história é verdade, ninguém sabe. Mas há evidências de que, no Oriente, a bebida é, de fato, milenar. Escavações em tumbas da dinastia Han (entre 206 a.C. e 220 d.C.) revelaram a existência de recipientes contendo chá. Mas foi na dinastia Tang (618 a 906 d.C.) que a bebida se tornou uma verdadeira febre na China.

No Ocidente, as primeiras menções ao chá aparecem no século 16, principalmente em Portugal, onde comerciantes e missionários religiosos, que viajavam muito, tinham contato com a infusão. Os holandeses começaram a importar a bebida da ilha de Java em 1606. Por causa do alto preço, tornou-se uma bebida elitista e não demorou para despertar o interesse da Europa ocidental. No Brasil, as primeiras mudas de chá foram plantadas no Jardim Botânico do Rio de Janeiro, a mando de D. João VI.

Fonte: Tea Council da Inglaterra
 
Correio Braziliense

Inimiga do coração: Hipertensão atinge um a cada quatro adultos

Médicos tentam combater e alertar a população sobre a doença
 
Um mal silencioso com consequências que podem ser fatais. No Dia de Combate e Prevenção à Hipertensão, os médicos alertam para o problema, que atinge um a cada quatro adultos. Reconhecida como inimiga do coração, é um perigo também para outras áreas do organismo altamente vascularizadas, como cérebro, rins e até mesmo os olhos.
 
A hipertensão arterial é considerada a partir de 140 por 90 milímetros de mercúrio (140mmHg por 90mmHg), ou, como se costuma dizer popularmente: 14 por 9. Pode ser leve, moderada ou grave. Mas, em qualquer um desses patamares, se não tratada, pode resultar em complicações para a saúde. “É uma doença muito comum.Como não tem sintoma nenhum, ao longo dos anos provoca lesões em órgãos nobres, como coração, rins, cérebro e as grandes artérias”, afirmou o cardiologista Thiago da Rocha Rodrigues, do Hospital Felício Rocho.

A Sociedade Brasileira de Cardiologia (SBC) faz a campanha Quem se medica contra a hipertensão vive sem restrição para alertar para a importância de identificar a doença. Os números são preocupantes: a cada dois minutos, um brasileiro morre por causa de doenças cardiovasculares, 350 mil a cada ano.
 
Apesar dos números, as pessoas ainda não dão a devida atenção.A hipertensão ou pressão alta é uma doença crônica que, depois de 10 e 15 anos, pode resultar em outras doenças, como hemorragia cerebral, acidente vascular cerebral (AVC), infarto, insuficiência renal e obstrução das artérias. “É uma doença silenciosa e traiçoeira. A hipertensão não tratada pode resultar em uma dessas catástrofes”, diz Thiago da Rocha.

Felizmente, é um quadro de fácil diagnóstico, que deve ser feito por um clínico ou cardiologista por meio da aferição. “Basta uma medida simples da pressão, que deve ser feita em qualquer consulta de rotina, ou até mesmo por aparelhos digitais, que são muito comuns na atualidade”, afirma o cardiologista Marcus Bolivar Malachias, professor da Faculdade de Ciências Médicas de Minas Gerais e presidente da Sociedade Brasileira de Cardiologia.
 
A aferição deve ser feita em um momento em que o paciente estiver tranquilo. “Quando a aferição é feita em um momento de estresse e irritação, a medida pode ficar momentaneamente elevada. É bom que antes a pessoa fique de repouso por pelo menos cinco minutos”, sugere Thiago da Rocha.

O problema pode surgir em qualquer época da vida, mas é mais comum entre 40 e 60 anos de idade. Não há diferença na prevalência entre homens e mulheres. O tratamento é feito por meio de medicamentos, mas também são indicadas redução no consumo de sal e a prática moderada de exercícios físicos. “Dispomos de muitos medicamentos para hipertensão. Temos diversas classes de remédios. O paciente pode não se adaptar a um, mas temos alternativas.”

Ao longo dos anos, os medicamentos passaram a ser mais tolerados, com menos efeitos colaterais, e são mais eficazes. Em cerca de 95% dos casos, a pressão alta tem causas genéticas. O sedentarismo, o alcoolismo e má alimentação podem potencializar o problema em pessoas que tenham predisposição genética. “Quando pai e mãe têm pressão alta, as chances são maiores. Mas não é 100% certo.” É indicado que a pessoa faça um checape para avaliar a pressão.

Alimentação
A alimentação pode ser uma importante aliada no combate à hipertensão. Além da redução do consumo de sal, a ingestão de alguns nutrientes auxilia na redução de pressão arterial. A Organização Mundial da Saúde (OMS) indica o consumo de cinco gramas de sal por dia, mas estudo da Vigilância de Fatores de Risco e Proteção para Doenças Crônicas por Inquérito Telefônico (Vigitel 2014) demonstrou que os brasileiros consomem até 2,5 vezes mais, cerca de 13g diários.
 
De acordo com o nutricionista Lupércio Farah, beterraba, melancia, alimentos verde-escuros, castanhas, nozes e chocolate amargo podem ajudar a reduzir a pressão. Ele também aconselha o consumo de uma taça de vinho ou de suco de uva integral como forma de combater a hipertensão. “Basta sermos criativos. Com o que temos à mão, podemos fazer boas saladas e sucos saborosos”, ensina.

Um estudo publicado no British Journal of Nutrition, em 2012, comparou o efeito de 100g de extrato de beterraba roxa e branca sobre a pressão arterial de pessoas normais. Os resultados mostraram que o nitrato, presente em abundancia na beterraba, foi responsável pela redução da pressão arterial de forma significativa, de 15 por 9 para 13 por 7. Outro estudo conduzido na Itália publicado no American Journal of Clinical Nutrition mostrou que o chocolate amargo reduziu a pressão arterial de 11 por 8 para 10 por 8.

Para combater o sódio, vilão da hipertensão, a dica é apostar no verde. A clorofila (pigmento verde encontrado nos vegetais) é uma das maiores fontes de magnésio que encontramos na natureza. Em níveis normais na corrente sanguínea, o magnésio ajuda na excreção do sódio, responsável por aumentar o volume de líquido nos vasos sanguíneos e, consequente, a pressão arterial. Conduzida por pesquisadores do Departamento de Medicina do Centro Médico Albert Einstein, na Philadelphia (EUA), o estudo demonstrou que a suplementação de magnésio, de três a 24 semanas, resultou na diminuição da pressão arterial.
 
Estado de Minas