Aplicativos, carreira, concursos, downloads, enfermagem, farmácia hospitalar, farmácia pública, história, humor, legislação, logística, medicina, novos medicamentos, novas tecnologias na área da saúde e muito mais!



segunda-feira, 5 de setembro de 2011

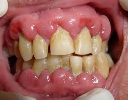
Problemas Cardíacos e Gengivite

Não deixe de conversar com seu dentista sobre qualquer problema cardíaco

Existe alguma ligação entre gengivite e problemas cardíacos?
Em geral, os dados indicam que a gengivite crônica pode contribuir para o desenvolvimento de problemas cardíacos. Como isso acontece? A gengivite é uma infecção bacteriana que pode ter efeitos à distância da sua boca. Com relação a problemas cardíacos, há uma teoria que diz que a gengivite permite às bactérias entrarem na corrente sangüínea e aderir aos depósitos de gordura existentes nos vasos do coração. Isto pode causar coágulos e provocar um problema cardíaco.

O relatório do Ministério da Saúde dos Estados Unidos sobre saúde bucal afirma que a saúde bucal é parte integrante da saúde geral. Por isso, escove os dentes, use fio dental e vá ao dentista regularmente.

Com relação à saúde bucal, existem recomendações especiais para quem tem problemas cardíacos?
Para uma perfeita saúde bucal, você deve:

- Manter sua boca saudável. Isto é, escovar os dentes, usar fio dental diariamente e consultar o dentista regularmente;
- Informe seu dentista a respeito de seu problema de saúde geral;
- Siga com cuidado as instruções do dentista e de seu médico e use os medicamentos - como antibióticos, por exemplo - de acordo com as indicações.

Os procedimentos dentários oferecem algum risco a quem tem problemas do coração?
Se você tiver certos problemas cardíacos, existe a possibilidade de você desenvolver uma endocardite bacteriana, uma infecção do revestimento interno do coração ou das válvulas. Um sangramento na boca pode permitir que certas bactérias bucais entrem no sistema sangüíneo e atinjam as válvulas ou tecidos que foram enfraquecidos por um problema cardíaco préexistente. Nesses casos, a infeção pode danificar ou mesmo destruir as válvulas e os tecidos do coração.

Há precauções que você deve tomar se estiver enquadrado em algum dos itens abaixo:

- Válvulas artificiais;

- Histórico de endocardite;

- Defeitos cardíacos congênitos;

- Válvulas cardíacas danificadas por problemas como, por exemplo, febre reumática;

- Prolapso da válvula mitral com sopro;

- Miocardiopatia hipertrófica.

Não deixe de conversar com seu dentista sobre qualquer problema cardíaco que estiver sentindo e os medicamentos que está tomando. Ele anotará essas informações em seu prontuário e tomará decisões sobre o seu tratamento dentário em conjunto com o seu médico.

Fonte IG

Nenhum comentário:

Postar um comentário